ESTHETIC DENITISTRY
いろ・かたち・ならびを
整える審美治療
口元の見栄えは、女性の印象を決定づける重要な要素です。ホワイトニングで歯を白くしたり、セラミックやジルコニアなどの歯科素材を使用して、色や形を整えて美しい表情を創ります。また歯の並びを揃えて、スマイルラインを形成します。
審美治療 01
医療機関でしかできない、白い歯。
加齢や遺伝、食生活などによって変色した歯を特殊な光と薬剤で歯を白くしていきます。
アメリカの研究で実証されている安全性で、歯科医院でしかできないホワイトニングを行います。


●オフィスホワイトニング
専用の薬液と機械の光で、しっかり白くするホワイトニング。クリニックでしかできない手軽に歯を白くします。
●ホームホワイトニング
専用のマウスピースを作製し、専用のホワイトニングジェルで自宅で毎日手軽にケアをするホワイトニングです。
●Wホワイトニング
オフィスホワイトニングとホームホワイトニングで院内と自宅でケア。しっかり早く白くなり、効果を実感できます。

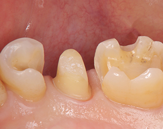
審美治療 02
歯科素材で歯の形と色がよみがえる。
クラウン(かぶせ)、インレー(詰め物)など、耐久性、審美性、機能性の高い歯科素材を使用し、
形と色を揃え、天然歯と同じような見栄えを実現します。
大幅に削り取った歯でもコアという土台を創り、審美ほてつで形成して見栄えをよみがえらせることも可能です。
クラウン(被せ物)
インレー(詰め物)
ファイバーコア(土台)

陶器素材(酸化アルミニウム)でできた素材。強度と自然な色を再現し、美しい口元を創ります。前歯、小臼歯によく使われる人気の素材です。

陶器素材でできた歯科材料。強度や粘り強さを兼ね備えた素材です。耐蝕性、安全性も高く、天然歯に近い輝きを出すことができます。

歯の表面を薄く削り、セラミック製の薄いプレートを貼り付ける治療方法。2~3回の来院で終了し、非常に美しく自然に仕上がります。

金属をベースとした硬質レジンという白いプラスチックと陶器を混ぜ、表面に接着することで強さと審美性の両方を兼ね備えてます。
審美治療 03
ライフスタイルに
合わせた歯並び治療。
骨格と筋肉の関係を考えて、様々な矯正装置を選択し、容貌全体のバランスを整えて1㎜ずつ歯列を整えていきます。
正常な咬み合わせになるよう、顔の歪み、歯の向き、角度、大きさを揃えていきます。

一般の歯科医院にはない、矯正歯科用の特別なレントゲンで、頭を基準にして歯の傾き、上下の顎骨の位置関係や歯列の形態や位置に関する特徴や成長を評価し、理想の歯並びになるように診査診断を行います。


審美治療 04
息を着替える、プロのクリーニング。
口腔内を常に清潔にするため、PMTCというプロフェッショナルクリーニングを行います。
舌や歯の汚れを取り除き、お口の状態をキレイに保つことで、口臭予防になり、息をリフレッシュします。

歯磨きの状態と歯石の付着状況をチェックし、口腔内の衛生環境の診査診断を行います。

超音波を利用して、歯の表面や歯肉の中に付着している歯石をキレイに取り除き、クリーニングします。

クリーニングで取り切れなかった歯石やバイオフィルムを専用の研磨剤と器具で磨き、歯の表面をツルツルに磨きます。

歯の決勝の構成(歯質)を強くするためにフッ素塗布を行い、汚れを防止していきます。
スイス発の予防クリーニング「GBT」を導入。水と微細なパウダー(炭酸水素ナトリウムやグリシン)を噴射するエアフローにより、バイオフィルムや歯石、着色をやさしく除去し、歯を傷つけないクリーニングです。
※自費診療となります。普段の定期検診にプラスしてご案内も可能です。
詳しくはスタッフにお問い合わせください。
〒536-0025
大阪市城東区森之宮1丁目6番111号NLCビル1階(エニタイム森之宮店横)
大阪メトロ長堀鶴見緑地線・中央線 / JR大阪環状線 森ノ宮駅 徒歩3分
| 診療時間 | 月 | 火 | 水 | 木 | 金 | 土 | 日・祝 | |
|---|---|---|---|---|---|---|---|---|
| 午 前 |
10:00~14:00 | ● | ● | ● | ● | ▲ | ||
| 11:00〜15:00 | ● | |||||||
| 午 後 |
15:00~19:00 | ● | ● | ● | ● | ▲ | ||
| 16:00〜20:00 | ● | |||||||
※土曜日のみ9:30〜13:30/14:30~17:30
※休診日は、日曜・祝日です。
※当院は完全予約優先制です。ご予約時間に遅れて来院された際、診療をお受けいただけない・お待たせする可能性がございますので、時間厳守にご協力ください。
※保険診療もクレジット対応できます。