ORTHODONTICS
3次元の治療立案でベストな選択肢
矯正歯科治療として、デジタル技術を活用した矯正治療のプログラムが普及し続けています。患者様一人ひとりの症例に合わせて、カスタムメイドの透明マウスピース矯正を使用し、理想の歯並びになるように、正確かつ負担のない矯正治療を実現します。
不正咬合の種類から、最善の歯並びを創る
歯並びが気になる方、見栄えを整えて表情を明るくしたい方は、是非ご相談ください。
着脱可能の透明マウスピース矯正や従来のワイヤーブラケット矯正、裏側矯正など、
患者様の不正咬合の種類からベストな歯並びを実現できる治療を提案します。

上の前歯が強く前に傾斜していて、上の歯並びが全体に前に出てしまっています。

下の歯が上の歯よりも前に出てしまっているかみ合わせです。上下の前歯の傾きによる場合と顎の成長度による場合があります。

歯並びがデコボコになっている状態です。歯が並ぶスペースが足りないために起こります。歯磨きが行き届かずむし歯のリスクが高まります。

すきっ歯と呼ばれる歯並びで、歯と歯の間に隙間がある状態です。

前歯の上下方向に隙間ができる咬み合わせ。オープンバイトと呼ばれます。
口腔状態を診断し、不正咬合の状態を把握します。矯正装置、治療内容のご紹介を行います。
レントゲン検査、口腔内検査など様々な精密検査を行い、治療方針を決定します。
精密検査を元に、歯列移動のシミュレーションを行い、治療計画を立案します。
治療の方針が決定しましたら、矯正装置をご選択し、ご理解と同意をいただいてから治療を行っていきます。
治療が完了した後、必ずアフターケアとして保定装置という後戻り防止装置を装着し、矯正した歯並びを維持します。
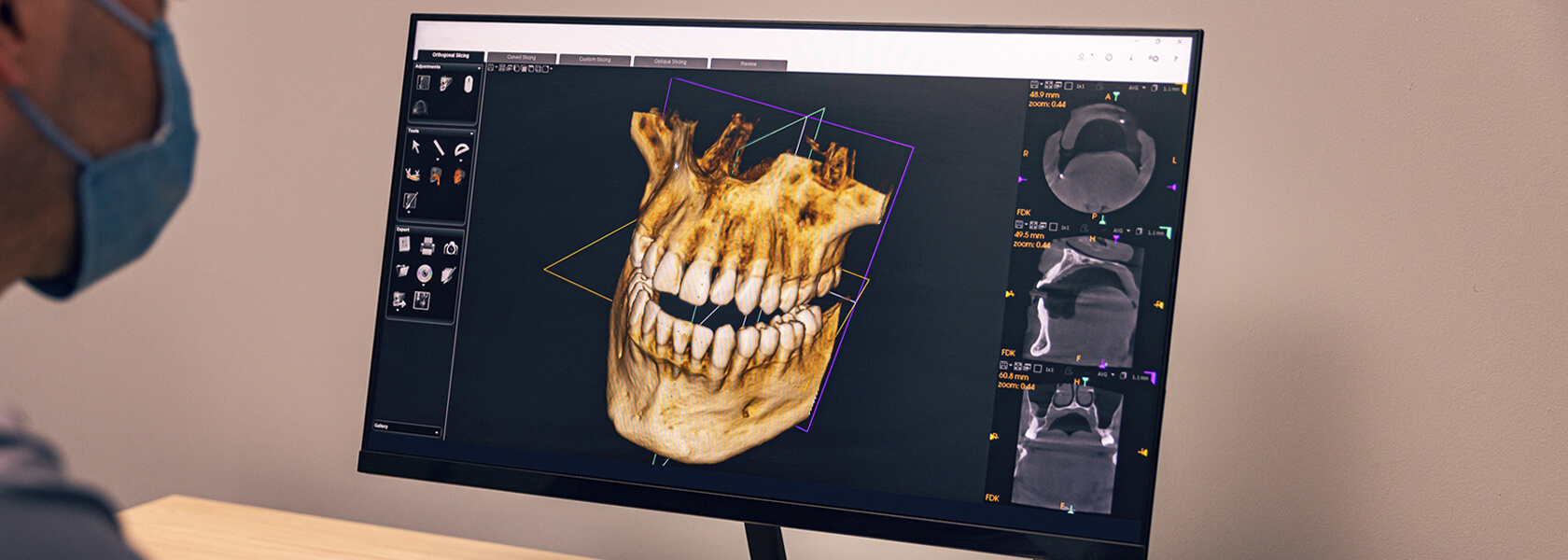
歯科用コーンビームCT、口腔内スキャナー、CAD/CAMなどのデジタル機器を搭載。
個々の患者様の医療データを統合し、歯並びにおけるスピーディな診査・診断や
シミュレーションが確認でき、安全で精度の高い治療を実現しています。


コンピュータシミュレーションにより歯を動かしていく矯正治療です。透明マウスピースなので食事の時も取り外しができ、普段の生活で気付かれにくく快適に治療できます。小児から成人まで、歯列移動が予測実現でき、日常での使いやすさにおいて機能性に富んだ矯正装置です。

成長に沿って顔・顎・歯の
バランスを整える顔貌形成
顔貌形成の大切な時期に、正しい咬み合わせと歯の力のかかり方を矯正することが重要です。
こどもの成長に沿って一期治療・二期治療とを分けて矯正治療を行っていきます。
横スクロールでご確認いただけます。
乳歯・永久歯の混合期と生え変わりに正しい歯並びを創るのは、歯の生えてくるスペースとくせによる噛む力の向きを矯正することから始まります。顎を拡げるために、急速拡大装置(床矯正)を使用して生えてくる歯に備え、着脱可能の矯正で歯並びを整えていきます。

顎の大きさ

くせの矯正

口腔トレーニング

不正咬合対応

子どもの矯正治療のために開発された機能的マウスピース型矯正装置。柔らかく、歯型を取らずに使用でき、歯並びやくせに合わせて矯正が可能です。

コンピュータシミュレーションにより歯を動かしていく矯正治療。透明マウスピースで矯正するので食事の時も取り外しができ、普段の生活で気付かれにくく快適に治療できます。
〒536-0025
大阪市城東区森之宮1丁目6番111号NLCビル1階(エニタイム森之宮店横)
大阪メトロ長堀鶴見緑地線・中央線 / JR大阪環状線 森ノ宮駅 徒歩3分
| 診療時間 | 月 | 火 | 水 | 木 | 金 | 土 | 日・祝 | |
|---|---|---|---|---|---|---|---|---|
| 午 前 |
10:00~14:00 | ● | ● | ● | ● | ▲ | ||
| 11:00〜15:00 | ● | |||||||
| 午 後 |
15:00~19:00 | ● | ● | ● | ● | ▲ | ||
| 16:00〜20:00 | ● | |||||||
※土曜日のみ9:30〜13:30/14:30~17:30
※休診日は、日曜・祝日です。
※当院は完全予約優先制です。ご予約時間に遅れて来院された際、診療をお受けいただけない・お待たせする可能性がございますので、時間厳守にご協力ください。
※保険診療もクレジット対応できます。